Schedule a Consultation
Start your journey with personalized guidance, expert insights, and a clear plan tailored to your goals for natural, confident, long-lasting results.
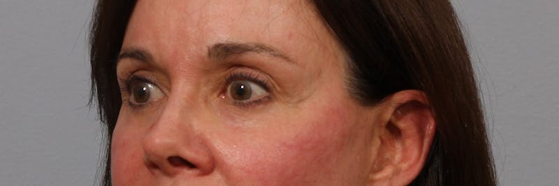
Contact UsThis 63 year old had previous surgery in another state. She felt that she still looked older than she would like. Her brows were flat and a bit low. She had a temporal brow lift in order to raise the outer aspect of her brow.
She wanted to avoid a drastic change that might change her basic appearance. In lifting the brow, subtlety is more natural looking than an extreme lift. No stitch lines are visible. There can be some temporary numbness in the hairline. For men with thinning hair, other options may be preferable. The outcome can be enhanced by adding fat or filler under the outer brow, in order to give it a more rounded, youthful appearance. This patient also had some laser resurfacing, which improved her skin texture. Occasionally Botox injections can give some outer lift if done correctly.